聴神経・腫瘍– category –
-
聴神経・腫瘍
37歳女性 下垂体線腫を内視鏡手術しました。両耳側の視野欠損が回復しました。
-
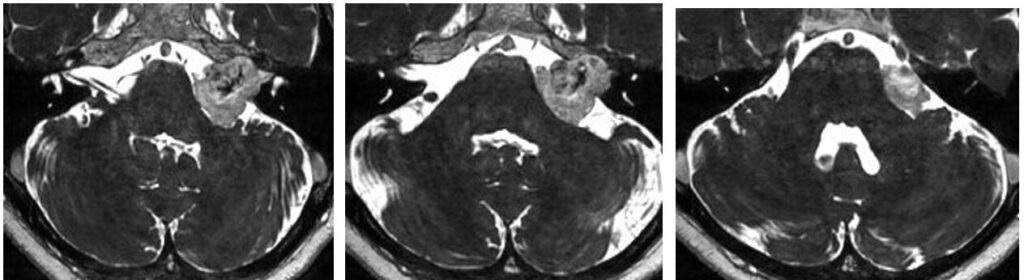
聴神経・腫瘍
66歳大型の聴神経腫瘍、術中出血のため手術が難渋し時間がかかりました。過去最大級の難敵でした。 MRIだけでは分からないものです。
-
聴神経・腫瘍
13歳小児の小脳腫瘍の摘出を行いました。術後失調や眼振が出ていましたが徐々に回復され大きな後遺症なく回復されました。よかったです。
-
聴神経・腫瘍
27歳女性 第四脳室髄膜腫を手術しました。術後左顔面まひ、外転神経麻痺が出現しましたが、顔面は数日で治癒しました。
-
聴神経・腫瘍
2025/9月 左聴神経腫瘍の手術をしました。術後顔面神経麻痺が出現しましたが2ヶ月程度で回復しました。
-
聴神経・腫瘍
28歳女性 ラトケ嚢胞の手術を行いました。術後一過性の尿崩症が発生ししたが、腫瘍は全摘出され視野狭窄が改善しました
-
聴神経・腫瘍
55歳女性、右聴神経腫瘍の手術を行いました。腫瘍は肉眼的に全摘出され、顔面神経麻痺は出ませんでした。
-
聴神経・腫瘍
2025年7月 硬膜動静脈瘻を合併した難治性の非典型髄膜腫(再発)に対し開頭治療を行いました。
-
聴神経・腫瘍
2023/6月 71F 右傍矢状髄膜腫を摘出しました
-
聴神経・腫瘍
2025年5月 41歳男性の脊椎腫瘍(腰髄神経鞘腫)の手術を行いました









