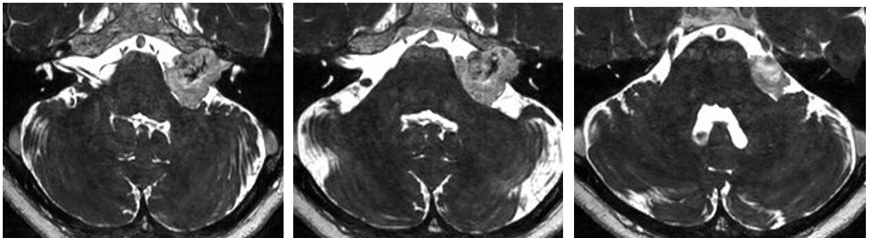
今回は内耳道底部まで完全に開放でき、顔面神経起始部を含め、腫瘍はLast 10mmの部分以外はほぼ完全に摘出できました。しかしLast 10mmを剥離していたところやはり顔面神経モニターが0.1mAでは反応しなくなり、0.2-0.5mAでは反応があるところで摘出を終了しました。術後HB grade 5の顔面麻痺が出現しましたが、耳鼻科のENGの反応はよく術後2ヶ月で回復しました。






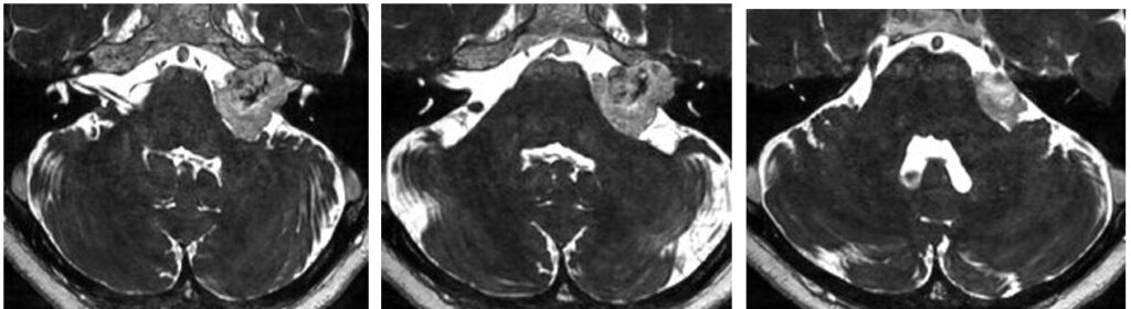
今回は内耳道底部まで完全に開放でき、顔面神経起始部を含め、腫瘍はLast 10mmの部分以外はほぼ完全に摘出できました。しかしLast 10mmを剥離していたところやはり顔面神経モニターが0.1mAでは反応しなくなり、0.2-0.5mAでは反応があるところで摘出を終了しました。術後HB grade 5の顔面麻痺が出現しましたが、耳鼻科のENGの反応はよく術後2ヶ月で回復しました。












