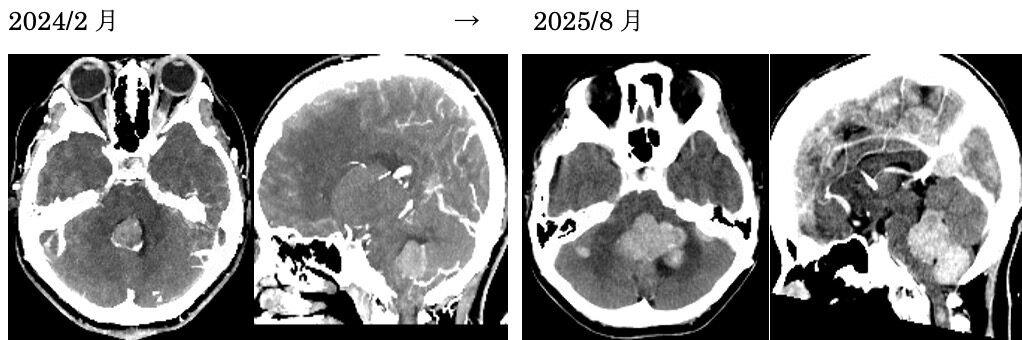
NF2による多発脳腫瘍の患者さんで、福島孝徳先生から引き継いで診ている患者さん。前回右前頭部の腫瘍を手術しましたが、その他の腫瘍も徐々に増大してきました。今回は第四脳室内腫瘍を摘出しました。腫瘍の一部が脳室底と癒着しており、わずかにこの部を残存させましたが、ちょうど顔面神経丘のところであったため術後左顔面まひ、外転神経麻痺が出現しました。顔面麻痺は数日で治癒し、外転神経麻痺も眼位はすぐに元に戻りましたが、自覚的な複視は残存しています。






NF2による多発脳腫瘍の患者さんで、福島孝徳先生から引き継いで診ている患者さん。前回右前頭部の腫瘍を手術しましたが、その他の腫瘍も徐々に増大してきました。今回は第四脳室内腫瘍を摘出しました。腫瘍の一部が脳室底と癒着しており、わずかにこの部を残存させましたが、ちょうど顔面神経丘のところであったため術後左顔面まひ、外転神経麻痺が出現しました。顔面麻痺は数日で治癒し、外転神経麻痺も眼位はすぐに元に戻りましたが、自覚的な複視は残存しています。












