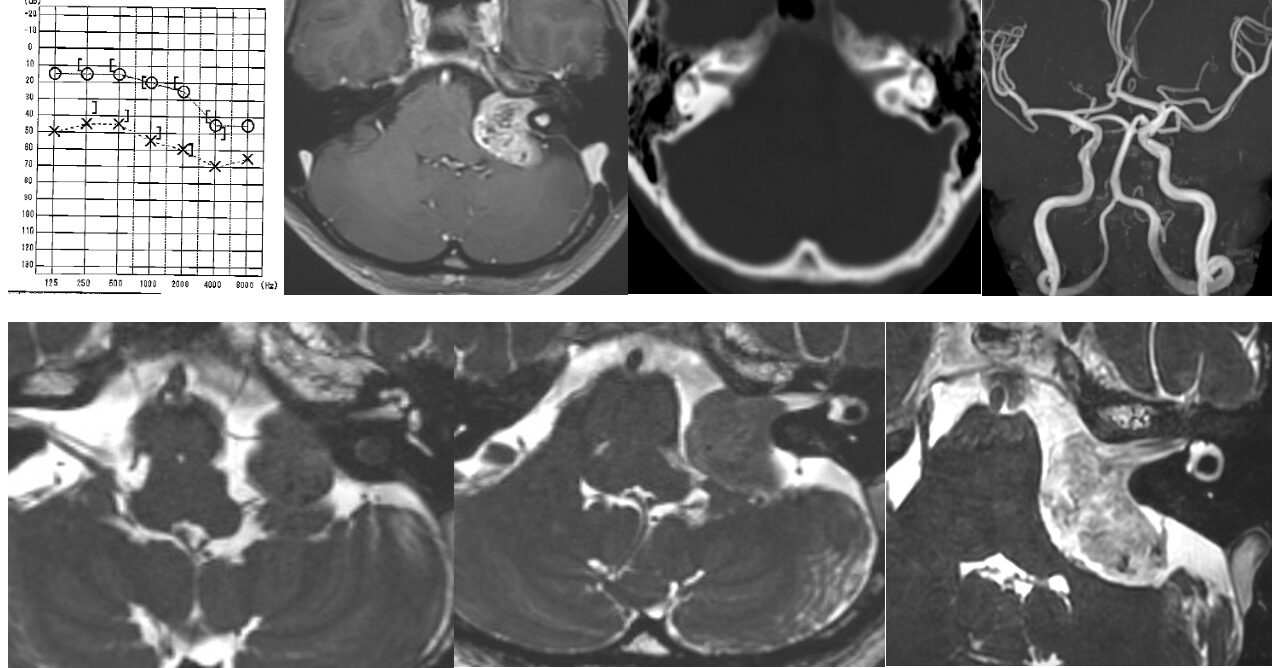
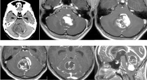
外頸動脈から腫瘍濃染が認められていたため、ある程度の出血は予想して手術に入りましたがそれ以上でした。内減圧が出血でなかなか進みません。腫瘍を硬膜から剥がすと主要表面からも動脈性出血が起こり、止血に難渋しました。腫瘍表面を凝固操作しているうちに、手術の最終段階で顔面神経はしっかり確認できるが電気的反応がなくなりました。手術が長時間かかった関係で小脳が挫傷となって腫れてしまい、救命のため小脳を一部切除してようやく手術を終えることができました。術後、小脳失調、顔面神経麻痺が出現し、術後1週間程度は意識も悪かったです。幸い術後3週間目から急速に回復され、食事や補助歩行が可能となりました。顔面神経のENoGの反応も残っており、回復が期待できます。現在リハビリ中です。これまで最大級の難敵でしたが、無事に生還してよかったです。










