手術のご相談は
Contact Us
福井大学脳神経外科 0776-61-8387
kikuta@u-fukui.ac.jp
News:最近の手術やイベント___
-
教授のひとりごと
250823土 第5回外視鏡手術研究会に参加しました。
-
Uncategorized


250816土 大阪万博に行ってきました
-
聴神経・腫瘍


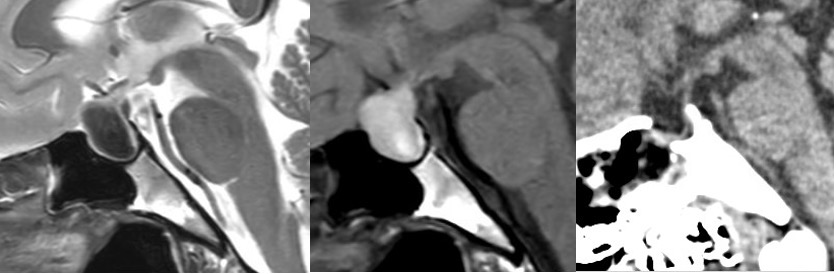
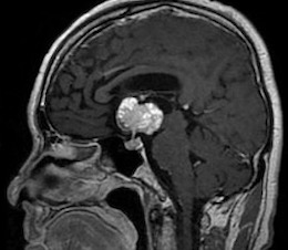
28歳女性 ラトケ嚢胞の手術を行いました。術後一過性の尿崩症が発生ししたが、腫瘍は全摘出され視野狭窄が改善しました
-
聴神経・腫瘍


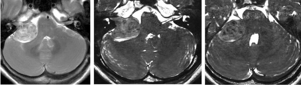
55歳女性、右聴神経腫瘍の手術を行いました。腫瘍は肉眼的に全摘出され、顔面神経麻痺は出ませんでした。
-
教授のひとりごと


250808福井大学松岡キャンパス オープンキャンパスを開催しました。多くの高校生が参加してくださり、大盛況でした
-
教授のひとりごと


250804第3回福島孝徳記念側頭骨セミナー(新宿)
-
教授のひとりごと


250803 第3回福島孝徳記念側頭骨セミナー懇親会
-
Uncategorized


基礎配属7/28月~8/1金 4名のM3学生が脳神経外科で実習しました。
-
教授のひとりごと


250728月アイルランガ大学(UNAIR)医学部のスリス(Kes M Sulistiawati)研究・国際担当副学部長と医学部アンバサダーのファウジ(Dr. Asla Al Fauzi)教授(脳神経外科)が訪問してくれました
-
Uncategorized


250723水 西医体壮行会を開催しました
Profile___
菊田 健一郎
福井大学脳神経外科教授
- 30年以上の臨床経験
- 顕微鏡から外視鏡の新時代へ
- 患者さんの個別性を重視したIndivisualized treatment
- 弟子も続々育っています
<得意分野>
- 脳動脈瘤(鍵穴・巨大)
- もやもや病
- 聴神経腫瘍・頭蓋底腫瘍
- 脳動静脈奇形・脳幹部血管腫
- 脳神経減圧術
- 三叉神経痛・顔面痙攣
- 頸動脈内膜剥離術
- 海外手術指導経験(ロシア・カザフスタン・ベトナム・インドネシア・エジプト)
1991年京都大学医学部卒業。顕微鏡手術の日本の開祖、菊池晴彦教授主宰の京都大学脳神経外科に入局。脳血管バイパス術を習得。1992年より大津赤十字病院救急救命センターに赴任し神経救急に従事。1994年より大学院に進学。京都大学第一薬理(真崎知生教授:エンドセリン)で血管内皮研究を行い医学博士を取得。1998年より倉敷中央病院(山形専部長)に異動。脳動脈瘤と頸動脈手術を習得。2000年より京都大学(橋本信夫教授)に帰学。脳動静脈奇形(AVM)、脳腫瘍のメジャー手術を習得しもやもや病研究班に参加。2009年福井大学脳神経外科教授に着任。福井に高度な脳血管手術を導入。2017年より「神の手」福島孝徳教授に師事。聴神経腫瘍、頭蓋底腫瘍、鍵穴手術の指導を受ける。2021年から外視鏡手術を導入。京大流と福島流のオペ技術に加え、そこに術中画像などテクノロジーを組み合わせることで、新しい手術を創造すべく、常に手術成績向上と技術革新、後進育成に勤めている。


学歴
| 1991 | 3/20 | 京都大学医学部 卒業 |
| 1998 | 3/31 | 京都大学大学院 医学研究科 脳統御医科学系 修了 |
| 1998 | 11 | 医学博士 京都大学医博(第2060号) |
勤務歴
| 1991 | 1/16 | 大津赤十字病院 脳神経外科 医員 |
| 1998 | 4/1 | 倉敷中央病院 脳神経外科 副医長 |
| 2000 | 10/1 | 京都大学医学部 脳神経外科 助手 |
| 2008 | 4/1 | 京都大学医学部 脳神経外科 講師 |
| 2009 | 4/1 | 福井大学医学系部門医学領域 脳脊髄神経外科学分野 教授 |
| 2021 | 4/1 | 福井大学医学系部門医学領域 脳神経外科学分野 教授 |
| 福井大学病院 副病院長(経営担当) | ||
| 福井大学 学長補佐 (医療担当) | ||
| 2023 | 4/1 | 福井大学病院 副病院長(医療安全担当) |
| 2025 | 4/1 | 福井大学 医学部長 |
現在に至る
専門領域
- 脳血管障害、頭蓋底腫瘍に対する手術法の研究
- 手術機器・術中画像・モニタリングに関する研究
- 脳血管攣縮・水頭症に関する基礎研究
- 医工連携研究、AI/データサイエンス・脳卒中疫学研究
主な学会活動
- 日本脳神経外科学会(代議員、卒前卒後教育検討委員会委員、国際委員会委員、脳神経外科医療均霑化に関する委員会都道府県委員)
- 日本脳卒中学会(評議員)
- 日本脳卒中の外科学会(評議員・技術認定医委員)
- 日本術中画像学会(理事)
- 日本脳神経外科漢方医学(理事)
- 日本脳神経光線力学学会(運営委員)
- 日本脳循環代謝学会(評議員)
- 日本頭蓋底外科学会
- 日本神経内視鏡学会
- 日本神経外傷学会
- 日本脳神経減圧学会
社会貢献
- 2010 福井県脳卒中連携協議会 会長
- 2010 日本脳卒中協会福井県支部長
- 2023 福井県脳卒中・心臓病等総合支援センター長
資格・受賞
- 医師免許(医籍登録番号336675号、平成3年5月29日)
- 日本脳神経外科学会専門医(専門医番号4471号、平成10年8月24日)
- 日本脳卒中学会専門医(専門医番号20050759号、平成21年4月1日)
- 脳卒中の外科学会技術指導医(A-2018-0520号、平成30年8月15日)
- 日本神経内視鏡学会技術認定医(21-NE-001号、令和3年12月1日)
- 受賞: 平成21年3月22日 第17回日本脳卒中の外科学会賞(鈴木二郎賞)
菊田健一郎 外来/診察予約
Contact Us
tel. 0776-61-3111
Contact___
外来診察Outpatient Clinics
| 福井大学病院 University of Fukui Hospital | 金曜日 Friday | 午前 a.m. |
| 春江病院 Harue Hospital | 月曜日 Monday | 午前 a.m. |
| 林病院 Hayashi Hospital | 木曜日 Monday | 午前 a.m. |
| 敦賀医療センター Tsuruga Medical Center | 水曜日 Wednseday | 午前 a.m. |
| 中村病院 Nakamura Hospital | 土曜日(第一) Saturday | 午前 a.m. |








