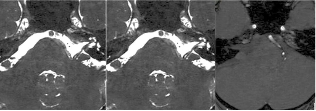
2603月 58歳女性の左顔面痙攣を治療しました。VAとAICAの複合型圧迫でしたがうまく治癒できました。

ボトックスを経験したのちに手術希望があり受診されました。

Screenshot
Screenshot
Screenshot
Screenshot
Screenshot
Screenshot
よかったらシェアしてね!
  • URLをコピーしました!
  • URLをコピーしました!

この記事を書いた人

目次