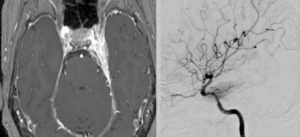
2026年1月 71歳女性の頭蓋咽頭種を内視鏡で摘出しました。 2026 3/01 聴神経・腫瘍 2026年3月1日川尻先生の執刀で嚢胞性かつ小型の頭蓋咽頭腫を内視鏡で摘出しました。新しく入局する高嶋浩央先生も手術に参加しました。術後髄液漏が生じ修復術が必要となりましたが、後遺症なく退院しました。学生らも熱心に見学していました。 聴神経・腫瘍 よかったらシェアしてね! URLをコピーしました! URLをコピーしました! 56歳女性 内頸動脈眼動脈分岐部動脈瘤クリッピング術をしました。軽度視野欠損が出ましたが無事退院されました。 260125日 大雪となりました。 この記事を書いた人 kikuta 関連記事 2604月、59歳女性の左海綿静脈洞内髄膜腫(複視)に対して左内頸動脈のための左STA-MCAバイパスを行いました。 2026年4月11日 260331 60歳男性 頭蓋咽頭腫を開頭で摘出しました。 2026年4月3日 260324 78歳男性 大型下垂体腺腫を外視鏡+内視鏡の複合手術を行いました。 2026年3月26日 2026年2月 74歳女性右聴神経腫瘍の手術を行いました。 2026年3月21日 37歳女性 下垂体線腫を内視鏡手術しました。両耳側の視野欠損が回復しました。 2025年12月27日 66歳大型の聴神経腫瘍、術中出血のため手術が難渋し時間がかかりました。過去最大級の難敵でした。 MRIだけでは分からないものです。 2025年12月16日 13歳小児の小脳腫瘍の摘出を行いました。術後失調や眼振が出ていましたが徐々に回復され大きな後遺症なく回復されました。よかったです。 2025年12月16日 27歳女性 第四脳室髄膜腫を手術しました。術後左顔面まひ、外転神経麻痺が出現しましたが、顔面は数日で治癒しました。 2025年12月6日