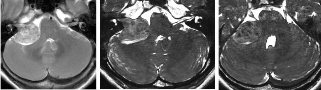
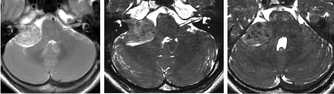
55歳女性、右聴神経腫瘍の手術を行いました。腫瘍は肉眼的に全摘出され、顔面神経麻痺は出ませんでした。 2025 12/05 聴神経・腫瘍 2025年11月12日2025年12月5日ScreenshotScreenshotScreenshotScreenshotScreenshot 聴神経・腫瘍 よかったらシェアしてね! URLをコピーしました! URLをコピーしました! 250808福井大学松岡キャンパス オープンキャンパスを開催しました。多くの高校生が参加してくださり、大盛況でした 28歳女性 ラトケ嚢胞の手術を行いました。術後一過性の尿崩症が発生ししたが、腫瘍は全摘出され視野狭窄が改善しました この記事を書いた人 kikuta 関連記事 2604月、59歳女性の左海綿静脈洞内髄膜腫(複視)に対して左内頸動脈のための左STA-MCAバイパスを行いました。 2026年4月11日 260331 60歳男性 頭蓋咽頭腫を開頭で摘出しました。 2026年4月3日 260324 78歳男性 大型下垂体腺腫を外視鏡+内視鏡の複合手術を行いました。 2026年3月26日 2026年3月 4歳女児の第四脳室腫瘍(小脳腫瘍)を手術しました。 2026年3月22日 2026年2月 74歳女性右聴神経腫瘍の手術を行いました。 2026年3月21日 260221土 令和7年度芝蘭会福井支部総会が開催されました 2026年3月21日 2026年1月 71歳女性の頭蓋咽頭種を内視鏡で摘出しました。 2026年3月1日 37歳女性 下垂体線腫を内視鏡手術しました。両耳側の視野欠損が回復しました。 2025年12月27日