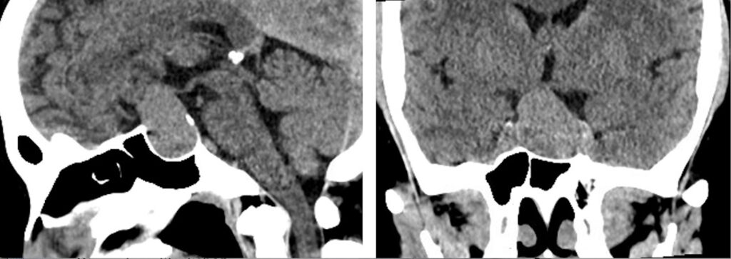
37歳女性 下垂体線腫を内視鏡手術しました。両耳側の視野欠損が回復しました。

若いですが、視野狭窄で発見された下垂体線腫を内視鏡で摘出しました。トルコ鞍前壁を十分に削除することで、上方の腫瘍残存をなくし、術後出血を防止できました。一過性に尿崩症が出現しましたが、コントロールされ退院されました。

Screenshot
Screenshot
Screenshot
Screenshot
Screenshot
よかったらシェアしてね!
  • URLをコピーしました!
  • URLをコピーしました!

この記事を書いた人

目次