聴神経・腫瘍– category –
-
聴神経・腫瘍
28歳女性 ラトケ嚢胞の手術を行いました。術後一過性の尿崩症が発生ししたが、腫瘍は全摘出され視野狭窄が改善しました
-
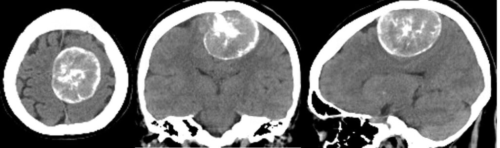
聴神経・腫瘍
55歳女性、右聴神経腫瘍の手術を行いました。腫瘍は肉眼的に全摘出され、顔面神経麻痺は出ませんでした。
-
聴神経・腫瘍
2025年7月 硬膜動静脈瘻を合併した難治性の非典型髄膜腫(再発)に対し開頭治療を行いました。
-
聴神経・腫瘍
2023/6月 71F 右傍矢状髄膜腫を摘出しました
-
聴神経・腫瘍
2025年5月 41歳男性の脊椎腫瘍(腰髄神経鞘腫)の手術を行いました
-
聴神経・腫瘍
聴神経腫瘍を手術しました(オペビデオあり)
-
聴神経・腫瘍
大孔部髄膜腫をTranscondylar approachで手術しました。
-
聴神経・腫瘍
延髄腫瘍を手術しました
-
聴神経・腫瘍
Insular gliomaを手術しました
-
聴神経・腫瘍
左頭頂葉の大型髄膜腫を手術しました









