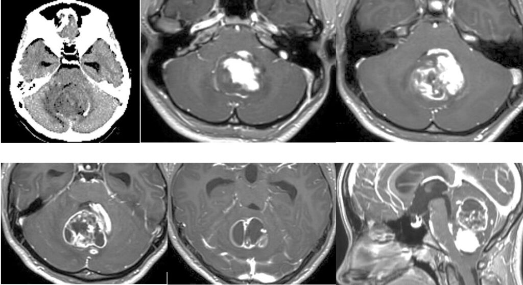
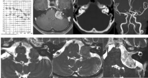
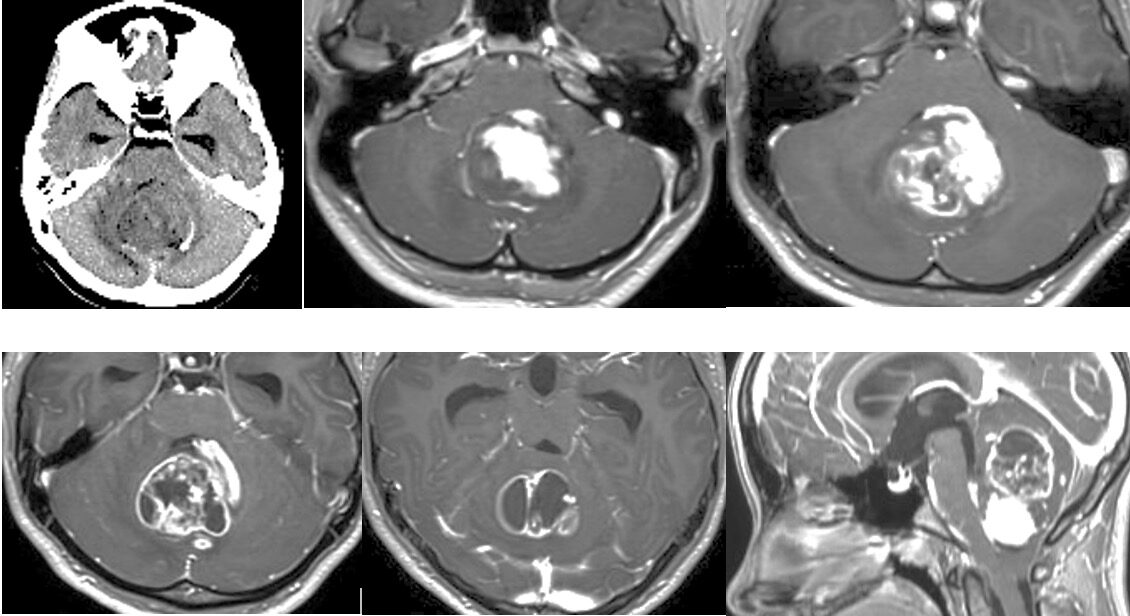
13歳小児の小脳腫瘍の摘出を行いました。術後失調や眼振が出ていましたが徐々に回復され大きな後遺症なく回復されました。よかったです。

出血の大変多い腫瘍で途中から手術に入りました。第四脳室底に癒着しておらずmedulloblastomaかと思っていましたらpilocyticでよかったです。

よかったらシェアしてね!
  • URLをコピーしました!
  • URLをコピーしました!

この記事を書いた人

目次