進行する歩行障害のために手術を決断されました。術前の血管撮影で静脈洞が流れていなかったので、SSSの前方部分をFalxの一部を含めて合併切除しSimpson grade 1の完全摘出を達成しました。腫瘍は全摘出され、術後脳浮腫やてんかんなど合併症は全く生じませんでした。術後歩行障害のリハビリを行い、現在元気に外来通院されています。
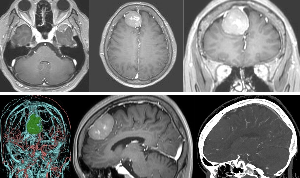
2023/6月 71F 右傍矢状髄膜腫を摘出しました


進行する歩行障害のために手術を決断されました。術前の血管撮影で静脈洞が流れていなかったので、SSSの前方部分をFalxの一部を含めて合併切除しSimpson grade 1の完全摘出を達成しました。腫瘍は全摘出され、術後脳浮腫やてんかんなど合併症は全く生じませんでした。術後歩行障害のリハビリを行い、現在元気に外来通院されています。







