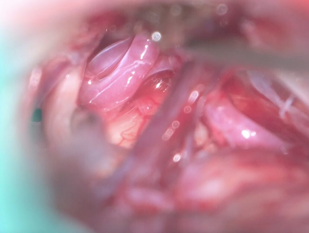
左三叉神経痛の手術をしました。カルバマゼピンで抑えられい強い痛みがありましたが、手術後痛みが完全になくなり食事も取れるようになりました。 2025 12/05 顔面痙攣・三叉神経痛 2025年12月5日ScreenshotScreenshotScreenshotScreenshotScreenshot 顔面痙攣・三叉神経痛 よかったらシェアしてね! URLをコピーしました! URLをコピーしました! 2025/9月 左聴神経腫瘍の手術をしました。術後顔面神経麻痺が出現しましたが2ヶ月程度で回復しました。 250910 西嶋久勝 高浜新町長にお会いしました。 この記事を書いた人 kikuta 関連記事 2603月 67歳男性の右顔面痙攣を手術しました。 2026年3月22日 2603月 58歳女性の左顔面痙攣を治療しました。VAとAICAの複合型圧迫でしたがうまく治癒できました。 2026年3月21日 46歳男性、開眼できないほどのVA型左顔面痙攣を手術しました。術後まだ完全には消失していませんが痙攣は著明に軽減しました。 2026年3月3日 19歳女性の三叉神経痛を手術しました。術後痛みは消失した様子です。 2026年3月3日 87歳女性、繰り返しブロックを行いガンマナイフも行った、難治生三叉神経痛を手術しました。高齢ですが無事一発治癒しました。 2025年12月11日 2025年8月 78歳 VA型の顔面痙攣の神経減圧術を行いました。M-TEPを併用し無事治癒しました 2025年12月4日 2025年5月 テグレトールで治らない左三叉神経痛の手術を行い直後より痛みは消失しました。 2025年9月25日 畑山式MVDハンズオンセミナーに東野先生と参加してきました 2025年3月22日