article
-
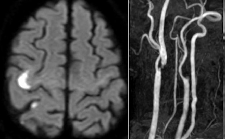
内頸動脈狭窄
251021火 75歳男性、左内頸動脈閉塞、両側椎骨動脈狭窄を伴う右内頸動脈狭窄症に対してCEAを行いました。
-
教授のひとりごと
251019日 今週は越前陶芸の里と漁り火温泉に行きました。
-
教授のひとりごと
251016木 高嶋浩央先生が入局を決心してくれました
-
顔面痙攣・三叉神経痛
87歳女性、繰り返しブロックを行いガンマナイフも行った、難治生三叉神経痛を手術しました。高齢ですが無事一発治癒しました。
-
教授のひとりごと
251013月 休日なので小浜、大飯町、美浜へ温泉&ドライブ
-
教授のひとりごと
251011土 お茶の水で共用試験機構(CATO)課題作成委員会の皆さんと中華料理屋で懇親会
-
教授のひとりごと
251008水 20:20-23:30pmJST Rutgers大学脳神経外科の若手脳神経外科医にバイパスのレクチャーをしました
-
教授のひとりごと
251005日曜日 我が家に黒いデリカミニがやってきました。
-
教授のひとりごと
251004土 第2回福井-金沢-京都脳神経外科カンファレンスを開催しました。
-
教授のひとりごと
250927日 支笏湖と千歳水族館ノーザーンホースパークに行き、飛行機で帰ってきました









