article
-
教授のひとりごと
260314土 STROKE2026 2日目
-
教授のひとりごと
260313金 STROKE2026 1日目
-
聴神経・腫瘍
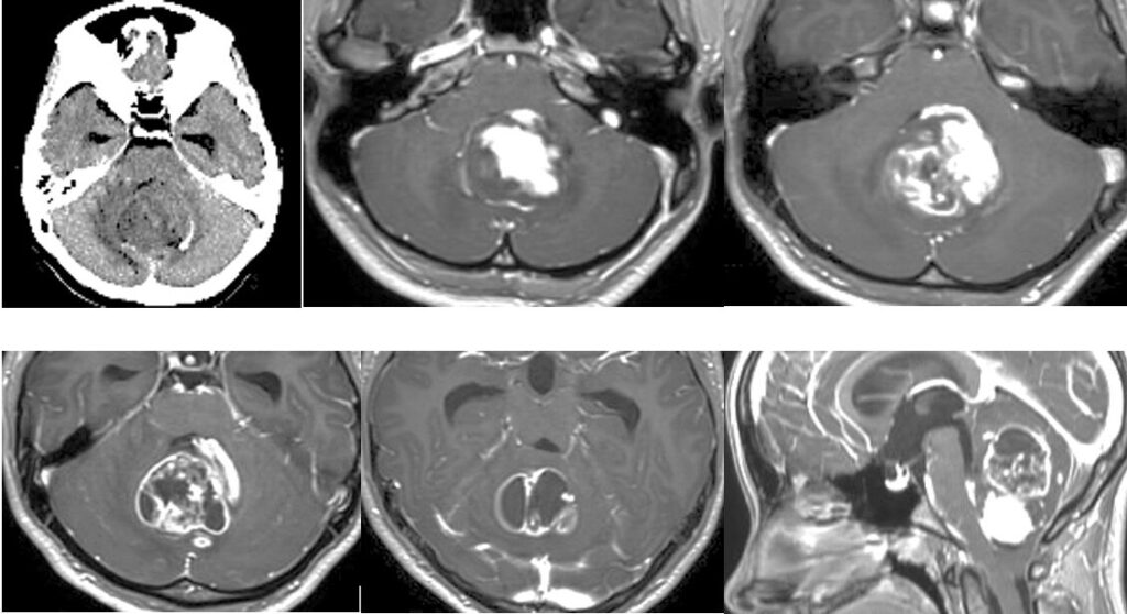
2026年3月 4歳女児の第四脳室腫瘍(小脳腫瘍)を手術しました。
-
顔面痙攣・三叉神経痛
2603月 67歳男性の右顔面痙攣を手術しました。
-
教授のひとりごと
260306金 北海道神経セミナーで講演しました。
-
顔面痙攣・三叉神経痛
2603月 58歳女性の左顔面痙攣を治療しました。VAとAICAの複合型圧迫でしたがうまく治癒できました。
-
教授のひとりごと
260228土 第31回日本脳神経外科救急学会に参加してきました。
-
教授のひとりごと
260227金 福井大学と報道各社との意見交換会が繊協ビルで開催されました。
-
教授のひとりごと
260225水 福井大学一般入試(前期)が行われ、夜には福井日赤で福井脳神談疾患談話会が開催されました。
-
聴神経・腫瘍
2026年2月 74歳女性右聴神経腫瘍の手術を行いました。
-1024x761.jpg)








