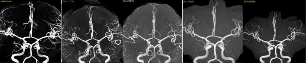
59歳女性の右中大脳動脈瘤を鍵穴クリッピングをしました。後遺症なしでした。 2025 12/12 脳動脈瘤・鍵穴 2025年12月12日13年前にくも膜下出血を起こしunknown SAHと診断され経過を見てきた患者さんに動脈瘤が徐々に育ってきたケースです。鍵穴クリップで対処しました。ScreenshotScreenshotScreenshotScreenshotScreenshotScreenshotScreenshotScreenshot 脳動脈瘤・鍵穴 よかったらシェアしてね! URLをコピーしました! URLをコピーしました! 251024金 橋本信夫先生に久しぶりにお会いしました。 251029水 第84回日本脳神経外科総会(パシフィコ横浜)初日 この記事を書いた人 kikuta 関連記事 未破裂中大脳動脈瘤の鍵穴クリッピング術を行いました。後遺症を認めませんでした。 2026年4月27日 2026年2月 52歳女性 左内頸動脈-眼動脈分岐部動脈瘤クリッピング術を行いました。 2026年3月21日 56歳女性 内頸動脈眼動脈分岐部動脈瘤クリッピング術をしました。軽度視野欠損が出ましたが無事退院されました。 2026年2月19日 63歳男性、右内頸動脈瘤開頭クリッピング術 2026年1月6日 58歳男性 中大脳動脈瘤を鍵穴クリップしました。合併症なく退院されました。 2025年12月17日 44歳女性 SAH PICA遠位部動脈瘤クリッピングを指導しました。 2025年12月17日 2025年5月 68歳女性未破裂Acom 動脈瘤6.6mmのクリッピング術 2025年9月26日 前交通動脈瘤をクリッピングしました 2025年2月26日