経過中大きくなってきた、5.5mm径でblebを有する中大脳動脈瘤が紹介されてきました。経過観察、血管内治療、開頭クリッピングの中からクリッピングを選択されました。

3cmx2cmの鍵穴開頭によるクリッピングを行いました。蝶形骨縁を十分にドリルしました。


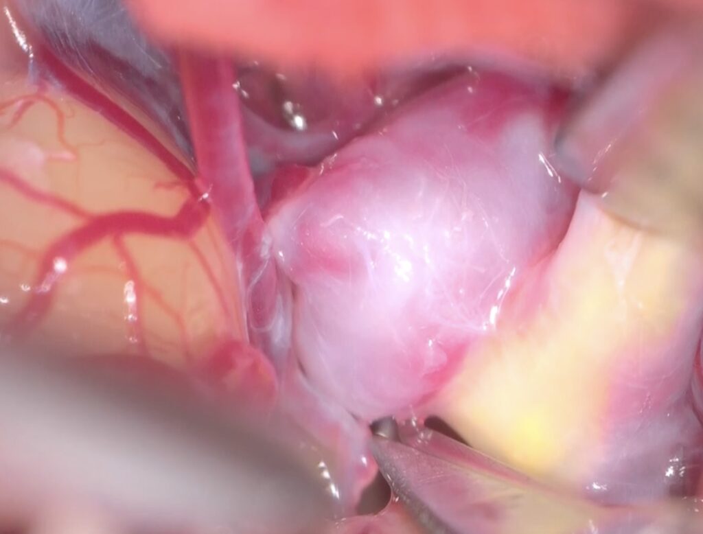
硬膜切開を行い、シルビウス裂を開けると動脈瘤が容易に露出されました。


案外 superior trunk M2の影になりM1が見えにくかったのですが、M2を避けてM1を確保しました。一時クリップで遮断してみましたがMEPに異常が見られませんでした。


動脈瘤に張り付いた小動脈をsharp dissectionにより剥がしネックを露出しました。


コンビネーションクリップでクリップしました。最終クリップに至るまでに、両側M2が十分流れるように書け直しを2回ほど行いました。ドームをしっかり剥離してぶらぶらにすること、クリップを一回でなくベストクリップになるまで何度もやり直すのが京大伝統の教えです。


ICGやドップラーで確認し、閉創です。オーブアイは色調や焦点深度がフットスイッチで自在に変えられるのが利点です。覚醒良好で、後遺症なく治療できました。








