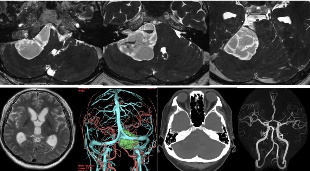
右顔面痺れ、聴力消失、ふらつき歩行障害が進行する50歳男性を、準緊急で手術しました。比較的出血の少ない腫瘍で15:30くらいには上がることができました。三叉神経はペラペラになっていたので周囲の腫瘍は残しました。顔面神経もペラペラでしたが珍しくcaudal typeで追跡が容易でした。内耳道内もきっちり取れました。手術後顔面麻痺、痺れとも大きな悪化なく腫瘍の大半は切除され会心の手術となりました。





右顔面痺れ、聴力消失、ふらつき歩行障害が進行する50歳男性を、準緊急で手術しました。比較的出血の少ない腫瘍で15:30くらいには上がることができました。三叉神経はペラペラになっていたので周囲の腫瘍は残しました。顔面神経もペラペラでしたが珍しくcaudal typeで追跡が容易でした。内耳道内もきっちり取れました。手術後顔面麻痺、痺れとも大きな悪化なく腫瘍の大半は切除され会心の手術となりました。



